Alimentele ultraprocesate „transformă” mușchii în grăsime: avertisment dintr-un nou studiu
Alimentele ultraprocesate “transformă” mușchii în grăsime: semnal de alarmă dintr-un nou studiu
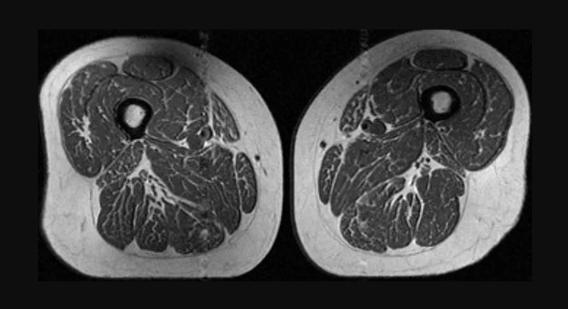
Un recent studiu a aruncat o lumină îngrijorătoare asupra consecințelor alimentației contemporane, punând în evidență faptul că un consum semnificativ de produse ultraprocesate este asociat cu acumularea de grăsime în masa musculară. Această descoperire, raportată de CNN, subliniază gravitatea problemelor de sănătate chiar și în rândul indivizilor care par sănătoși, fără afecțiuni evidente. De exemplu, o analiză RMN realizată pe o femeie care consuma alimente ultraprocesate în proporție de 87% a relevat modificări semnificative în structura mușchilor săi.
Grăsimea intramusculară și degradarea sănătății musculare
Studiul a implicat analiza a peste 600 de persoane și a scos în evidență o corelație preocupantă între o dietă bogată în suplimente ultraprocesate și creșterea grăsimii intramusculare. Imaginile RMN au arătat mușchi cu caracteristici asemănătoare „fripturilor marmorate”, datorită infiltrării grăsimii între fibrele musculare. Este notabil că acest proces a fost observat chiar și în cazul persoanelor care nu prezentau semne vizibile de osteoartrită, sugerând că degradarea calității musculare poate începe mult înainte de apariția simptomelor severe.
Impactul asupra sănătății pe termen lung
Acumularea de grăsime în mușchi nu reprezintă doar o problemă estetică, ci afectează semnificativ funcționalitatea acestora, diminuând capacitatea de regenerare și forța. Această degradare musculară poate crește riscul de dezvoltare a afecțiunilor precum osteoartrita genunchiului, având în vedere importanța mușchilor coapselor în menținerea stabilității articulațiilor. De asemenea, cercetătorii subliniază că efectele negative se extind dincolo de o zonă specifică a corpului, impactând diverse grupuri musculare și semnalând o problemă sistemică generalizată.
Riscurile asociate consumului de alimente ultraprocesate
Produsele ultraprocesate, incluzând băuturi îndulcite, snack-uri și cereale rafinate, sunt deja bine cunoscute pentru legătura lor cu diverse probleme de sănătate, cum ar fi obezitatea, diabetul și bolile cardiovasculare. Recent, studiul a adăugat o nouă dimensiune la acest tablou prin identificarea impactului negativ asupra calității musculare. Deși degradarea sănătății musculare a fost un subiect mai puțin abordat, implicațiile sale asupra bunăstării pe termen lung sunt semnificative. Cercetătorii sugerează că, deși efectele nu sunt întotdeauna ireversibile, reducerea aportului de alimente ultraprocesate și adoptarea unui stil de viață activ pot îmbunătăți considerabil calitatea musculară.
Recomandări pentru un stil de viață sănătos
Exercițiile fizice cu impact redus, cum ar fi mersul pe jos sau înotul, sunt recomandate pentru a proteja articulațiile. O dietă echilibrată, bazată pe alimente neprocesate, devine esențială în reducerea grăsimii intramusculare. Deși studiul nu demonstrează o relație cauzală directă, asociația găsită între consumul de alimente ultraprocesate și deteriorarea musculară pune în lumină întrebări importante cu privire la efectele pe termen lung ale dietei moderne.


